Periodontology

Periodontology

The main objective of Clinical Periodontology is to restore the patient’s periodontal health, that is, the health of the tissues that support the teeth (gums, periodontal ligament, alveolar bone and root cement) and that surround dental implants (gums and peri-implant bone).
When these supporting tissues are affected, for various reasons (infection, trauma, or individual susceptibility combined with other systemic diseases such as diabetes), the teeth may become compromised, resulting in some mobility and, in some cases, falling out.

Periodontitis

Dental implant surgery is relatively simple, and its duration varies depending on the number of implants to be placed. The entire procedure is performed under local anesthesia, which makes the procedure painless for the patient.

Gingivitis

In the case of gingivitis , treatment involves removing all plaque and tartar build-up, thus eliminating bad tastes and odors. During treatment, the patient is instructed on the procedures for proper oral hygiene .

Once treatment is complete, the patient must follow the maintenance program.

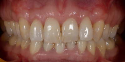
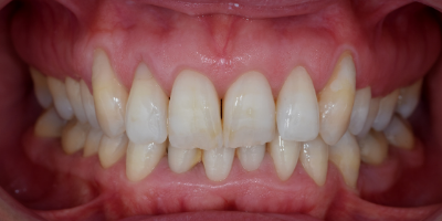
Periodontology Clinical Case

Symptoms

Most periodontal diseases are silent, that is, they do not present symptoms or signs except when they are in a more advanced state and there is tooth mobility. However, in cases of acute gum infections, there may be intense or moderate pain, especially when chewing or touching.
A thorough clinical examination, complemented by detailed radiographic images, even in routine consultations, is very important to detect any type of periodontal problem, since it has been proven that patients with periodontal disease have a greater risk of developing cardiovascular and renal problems, and when they are diabetic, periodontal inflammation makes it difficult to control diabetes.
Clinical and radiological periodontal study methods allow for the establishment of a periodontal or peri-implant diagnosis, with periodontal diseases being defined as gingivitis and periodontitis, and peri-implant diseases as peri-implant mucositis and peri-implantitis.

Book an evaluation appointment

During your first appointment at our clinic, an assessment consultation will be carried out by Dr. Dárcio Fonseca.

During this consultation, an accurate diagnosis is made and the best treatment solution is presented to you, as well as the corresponding budget.
At beclinique , the first consultation is seen as a highly important step in our patients’ journey. Each diagnosis must be precise and individualized.

This consultation includes:

  • Orthopantomography
  • Photographic protocol
  • Treatment plan