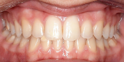
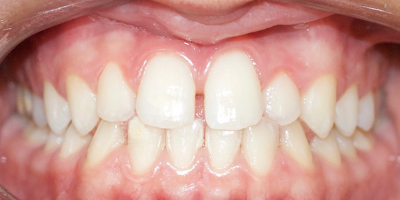
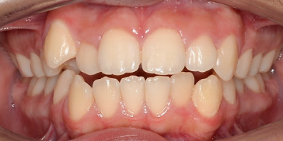
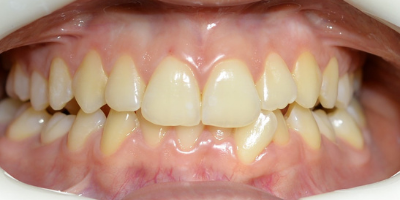
At Beclinique, we have a team of resident orthodontists who will diagnose, prevent and treat these problems, from childhood to adulthood.
We offer solutions ranging from conventional braces with brackets and wire, to Invisalign®, a transparent and removable treatment solution, the latest and most innovative technique in the field of orthodontics.