Inlays, Onlays, and Overlays

Inlays, Onlays, and Overlays

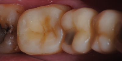
Indirect restorations are indicated for posterior teeth (premolars and molars) when the teeth have large cavities (usually resulting from caries) or simply to replace old restorations.
Restorations restore the tooth’s shape, natural appearance and chewing function.

Types of restoration

Depending on the size of the tooth and the affected surface, there are restoration options.

When the affected surface does not involve the edges, the inlays are located inside the tooth.

Onlays and overlays involve one or more edges, and some of their margins are located on the outside of the tooth.

In general, indirect restorations are made of ceramic or zirconia, in a color close to the natural color of the tooth.

Clinical Cases of Inlays, Onlays and Overlays

Indirect restorations

They are indicated in:
  • Root canal teeth that have undergone significant crown wear, with their rigidity and strength drastically reduced. Indirect restorations restore the tooth’s rigidity and strength, protecting it and preventing the common fractures characteristic of root canal teeth.
  • Teeth that have had previous restorations, or that have suffered trauma, are very fragile;
  • Posterior teeth with fractures that compromise the structural solidity of the crown, where an indirect partial coverage restoration is indicated;
  • Posterior teeth where it is intended to reestablish interproximal contact points in an appropriate manner;
  • Destroyed posterior teeth where the occlusal plane is to be leveled.

Schedule an evaluation appointment

During your first appointment at our clinic, you will be given an assessment by Dr. Dárcio Fonseca.
During this consultation, an accurate diagnosis is made and the best treatment solution is presented to you, along with a quote.
At beclinique , the first consultation is considered a highly important step in our patients’ journey. Each diagnosis must be accurate and personalized.

This consultation includes:

  • Orthopantomography
  • Photographic protocol
  • Treatment plan