Teeth Whitening

The color of the teeth

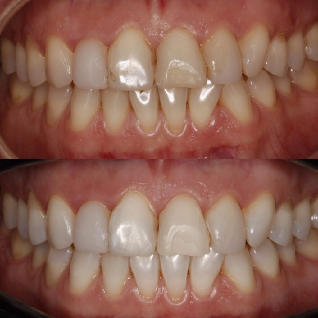
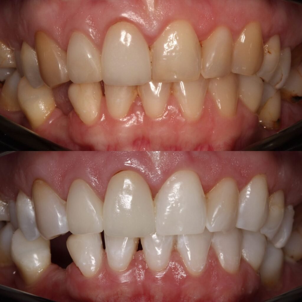
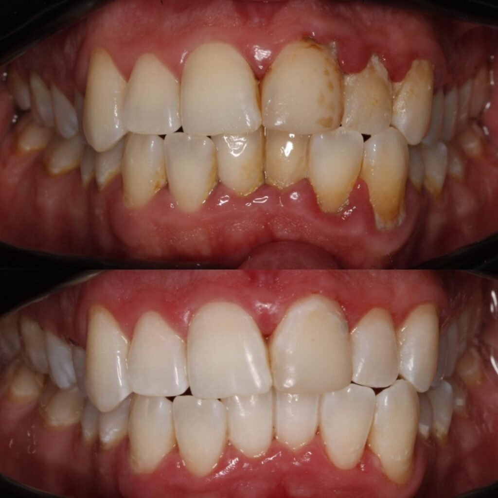
Teeth whitening is an aesthetic procedure that does not cause damage or wear to natural teeth. It turns teeth whiter by the action of oxidizing agents (whitening gel) on the dental pigments, promoting controlled discoloration.
This treatment has a very high success rate.

Why do we have discolored or stained teeth?

With age, teeth naturally tend to become darker. However the main causes of tooth darkening are due to:

  • Eating habits (such as consumption of coffee, tea, soft drinks, red wine, etc).
  • Smoking habits.
  • Insufficient oral hygiene.
  • Use of antibiotics (tetracyclines) during tooth formation.
  • Fluoride Ingestion.
  • Other systemic diseases during the tooth formation stage.
  • Devitalized teeth or teeth that have been traumatized for some time.
Having a whiter smile can go a long way in boosting self-esteem and helping to improve relationships with others.

Teeth Whitening Case Study

What types of whitening are there?

At beclinique, whitening can be done in an office (the most popular) or in an outpatient clinic (the patient can do it at home). Both present good results, although in-office whitening presents more immediate results.

External Whitening: The gel is applied directly on the surface of the teeth, and with devices that emit a photo-activated light, the teeth are whitened, in general.

Internal Whitening: when a single tooth is darkened due to caries, devitalization, or trauma, the whitening product can be infiltrated into the tooth itself by activating its effect with heat or light. This procedure is done in several sessions until the desired results are achieved. Internal whitening, depending on the case, lasts a few years, but throughout life the procedure has to be repeated.

What are the contraindications of teeth whitening?

Before having teeth whitening done, you should have a consultation with your dentist, so that a thorough evaluation of your oral health can be made. Before moving on to treatment we should always do a scaling and polishing of the teeth, as well as an application of fluoride gel.
Everyone can have a teeth whitening as long as they do not have cavities. On the other hand, if the person has very extensive restorations, whitening may not be advisable, since the gel whitens only the natural tooth.
Teeth whitening is not recommended for pregnant or nursing mothers or children. There are no known contraindications or facts to suggest that whitening may interfere with the baby’s health, but as a precaution, whitening should ideally be done at another time.
Having a whiter smile can go a long way in boosting self-esteem and helping to improve relationships with others.

Make an appointment for an evaluation

In your first appointment at our clinic, you will have an evaluation consultation with Dr. Dárcio Fonseca.
In this consult, an accurate diagnosis is made and the best treatment solution and budget are presented to you.
At beclinique, the first consultation is seen as a highly important step in our patients’ journey. Each diagnosis must be accurate and individualized.
This consultation includes:
  • Orthopantomography
  • Photographic protocol
  • Treatment plan